Grundlagen

der Echokardiographie

Dr. med. Konstantin Schraepler, Bremen 05/2021

Kenne
Dein
Echogerät!

kurzer Exkurs zur Geschichte

  • 1954 M-Mode zur Beurteilung der Mitralstenose durch Inge Edler
  • 1956 cW-Doppler durch S Satomura
  • 1963 B-Bild am lebenden Herzen durch CH Hertz und AG Asberg
Edler-Echokardiographie Edler-Echokardiographie Edler-Echokardiographie Edler I, Hertz CH (1954) K Fysiogr Sällsk Lund Förh 24:40-58
Satomura S et al. (1957) Mem Inst Sci Ind Res Osaka Univ 13:125
Hertz CH, Äsberg AG 5th International Conference on Medical Electronics, Liege 1963
  • 1965 Diagnose eines Perikardergusses mittels M-Mode durch Harvey Feigenbaum
  • 1966 Begriff Echokardiographie erstmals von Bernie Segal verwendet
  • 1967 pW-Doppler durch DW Baker
  • 1982 Farbdoppler durch WJ Bommer
Edler-Echokardiographie Edler-Echokardiographie

Feigenbaum H et al. (1965) JAMA 191:711-714
Segal BL et al. (1966) JAMA 195:161-166
Baker DW, Watkins D. Proc. 20th Ann. Conf. on Eng. in Med. and BIol., Boston 1967
Bommer WJ, Miller L (1982) Am J Cardiology 49:944

physikalische Grundlagen

PHYSIK DES ULTRASCHALLS

Schallwellen

  • entstehen, wenn eine Schallquelle mechanische Schwingungen in den Teilchen eines Mediums erzeugt
    = Kompression und Dekompression des Gewebes
  • breiten sich über ein Medien jeglicher Materie aus
  • Ausbreitung auf andere Teilchen durch Übertragung mit Schallgeschwindigkeit
  • Schallgeschwindigkeit in verschiedenen Medien unterschiedlich
    hängt von der Dichte des Mediums ab (Gewebe 1540 m/s, Blut 1570 m/s)

Medizinischer Ultraschall

  • Wechselstrom, der an piezoelektrische Kristalle angelegt wird, erzeugt Ultraschallwellen
  • reflektierte Ultraschallwellen (Echos) erzeugen in piezoelektrischen Kristallen ein elektrisches Signal, das in ein Bild umgewandelt wird

Medizinischer Ultraschall: Schallköpfe

linearer Schallkopf, Abdomen-Schallkopf, Echoschallkopf

Edler-Echokardiographie

Darstellungsmethoden

  • A-Mode
  • B-Mode
  • D-Bild (2D realtime)
  • M-Mode

A-Mode (Amplitude Mode Scan)

Darstellung des empfangenen Echos in einem Diagramm

Die x-Achse (=Zeitachse) zeigt die Eindringtiefe, die y-Achse die Echostärke. Je höher der Ausschlag der Messkurve, desto echogener das Gewebe in der angegebenen Tiefe

Edler-Echokardiographie

B-Mode (brightness modulation)

In der Darstellung des empfangenen Echo wird die Echostärke im Gegensatz zum A-Mode nicht mehr auf der y-Achse aufgetragen sondern in Helligkeit dargestellt

  • Wird der Ultraschall-Meßstrahl an einer Stelle belassen und das empfangene Signal auf einer Zeitachse abgebildet lassen sich Bewegungen der Strukturen darstellen (= M-Mode)
  • Wird der Ultraschall-Meßstrahl (automatisch) geschwenkt lässt sich mittels B-Mode hingegen ein zweidimensionales Bild aufbauen (= 2D-Bild)

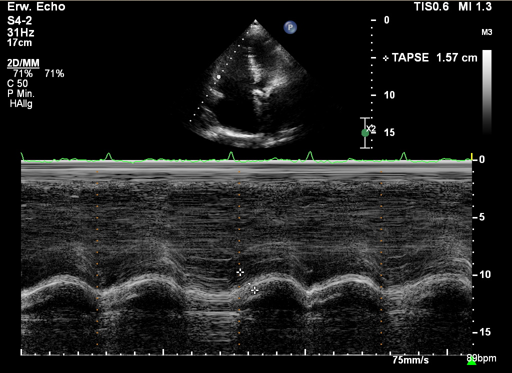
M-Mode

Der M-Mode zeigt die Bewegungsabläufe von Strukturen und Organen. Er hat an Bedeutung verloren, ist aber in bestimmten Situationen wertvoll.

M-Mode

Vorteil des M-Mode

  • hohe zeitliche Auflösung
  • ermöglicht die Messung von Zeitintervallen
  • für bestimmte Messungen günstig

heutiger Einsatz des M-Mode

  • TAPSE
  • AVPD (=MAPSE)
  • Beweglichkeit verdächtigter Strukturen bei V.a. Endokarditis
  • Beurteilung von Kunstklappen

M-Mode-Sonderformen

  • Anatomischer M-Mode
  • Farbdoppler M-Mode (Timing der Strömung, d.h. Strömungsausbreitung)
  • Gewebe-Doppler M-Mode (Myokardfunktion, Timing von Ereignissen, Septal flash)
  • Curved M-Mode

2D-Bild

M-Mode

2D-Bild (realtime)

Bildqualität

Die Bildqualität

hängt ab von

  • den Untersuchungsbedingungen
  • der Aufnahmequalität
  • der Bildnachbearbeitung

Gegner des Ultraschalls

Gegner des Ultraschalls

  • Luft
    Reflexion des Ultraschalls
  • Knochen
    Absorption des Ultraschalls
  • Attenuation
    Abnahme der Amplitude und Intensität beim Durchgang der Ultraschallwelle durch das Medium
  • Artefakte

Attentuation

Attentuation (Dämpfung)

  • Absorption
    proportional zur Frequenz
  • Brechung
  • Reflexion
  • Übertragung von Energie vom Strahl auf das Gewebe
  • Abschattung
  • Pseudoenhancement (Pseudo-Anreicherung)

Artefakte

Wann kommt es zum Auftreten von Artefakten?

  • schlechte Bildqualität
  • starke Reflektoren
    z. B. Verkalkung, Prothesenmaterial
  • gute Bildqualität
    z. B. Spiegelartefakte)
  • häufiger bei Grundlagenaufnahmen

Arten von Artefakten

  • Nahfeld-Clutter
  • Spiegelung/Doppelbilder
    verursacht durch Brechung
  • Reverberationen bzw. Wiederholungsechos
  • Nebenkeulenartefakt (Sidelobe-Artefakt)
  • Nachhall
  • Strahlenbreitenartefakte
  • Akustischer Schatten
  • Dämpfungsartefakte

Reverberation

gleiche anatomische Struktur kommt mehrfach zur Darstellung

Reverberation

Tipps zur Vermeidung von Artefakten

  • kennen die Fallstricke
  • optimiere das Bild
  • kenne die Anatomie
  • kenne die Arten an Artefakten
  • Sei vorsichtig bei starken Reflektionen
  • verwende mehrere Ansichten

Untersuchungsbedingungen

Lagerung

  • korrekte Lagerung des Patientin/ der Patientin ist wichtig
  • Lagerung auf der linken Körperseite, wodurch das Herz näher an die Thoraxwand heranrückt
  • Heben des linken Armes hinter den Kopf wird eine Erweiterung der Intercostalräume erzielt und somit das Schallfenster vergrößert wird
  • Untersuchung möglich
    • von rechts
      (Schallkopf wird mit der rechten Hand gehalten)(Schallkopf wird mit der rechten Hand gehalten)
    • von links (Schallkopf wird mit der linken Hand gehalten)
      Vorteile: bessere Arbeitshaltung
      Nachteile: schwierigerer Druckaufbau des Transducers
  • parasternale Achsen werden in der Regel durch betontere Linksseitenlage ( bis 90°) besser dargestellt
  • apikale Achsen in weniger betonten Linksseitenlage optimal einzustellen

Ekg

  • bei jeder Echountersuchung 1-Kanal-EKG auf dem Schallgerät mitschreiben
  • dient
    • der Beurteilung der Herzfrequenz und des Rhythmus
    • der Zuordnung des Dopplersignals zur entsprechenden Herzzyklusphase
    • der Detektion bestimmter Flussphänomene
  • ist notwendig zur Anwendung der Strainanalyse
  • dem Erkennen von Extrasystolen und Herzrhythmusstörungen
  • Triggerung der digitalen Speicherung von Herzzyklen

Aufnahmequalität

Was bestimmt die Aufnahmequalität?

  • räumliche Auflösung
  • Kontrastauflösung
  • zeitliche Auflösung

Faktoren der Auflösung?

  • Ultraschallfrequenz
  • Impulswiederholfrequenz
  • laterale und axiale Auflösung
  • Strahlbreite/Liniendichte
  • Verstärkung

Wandlerfrequenz

  • es werden in der Medizin Frequenzen zwischen 2 - 10 MHz verwendet
  • je höher die Ultraschallfrequenz, desto besser die Auflösung
  • je höher die Ultraschallfrequenz, desto geringer die Eindringtiefe

Wandlerfrequenz 1,5/3,0 MHz:
gröbere Darstellung der Myokardtextur

Wandlerfrequenz 2,3/4,6 MHz:
feinere Darstellung der Myokardtextur

Ultraschall-Impuls

  • der Schallkopf sendet einen Impuls mit bestimmter Impulsdauer (=Pulse Width) und wartet dann auf Echosignale
  • je höher die Ultraschallfrequenz, desto höher die Pulswiederholfrequenz
  • je höher die Pulswiederholfrequenz, desto höher die Bildrate (=Framerate) und Bildauflösung
  • je höher die Framerate, umso höhere zeitliche Auflösung des Herzzyklus (Strainanalyse!)

das optimale Echokardiographiebild

  • beginne mit den vordefinierten Einstellungen (Standard-Echo)
  • benutze vordefinierte Einstellungen für bestimmte Situationen
  • während der Untersuchung sind mehrere Parameter kontinuierlich anzupassen:
    • Reduktion der Bildtiefe
    • Reduktion der Bildbreite
    • Anpassung der Signalverstärkung (Gain)
    • Anpassung des TCG
    • Anpassung des Fokus
    • Verwendung der autmaotischen Bildverbesserung

Bildausschnitt

  • der Bildausschnitt sollte der Region des Interesses (ROI) angepasst sein
  • je größer der Bildausschnitt um so höher die Rechenleistung des Gerätes
  • je höher die Rechenleistung umso niedriger die Framerate

Einstellung des optimalen Bildausschnitts

  • ausgehend vom Übersichtsbild Tiefe so weit wie möglich reduzieren
    Tiefenreduktion führt zur Erhöhung der Framerrate und besseren Bildauflösung
  • Reduktion der Bildbreite
    Breitenreduktion führt zur Erhöhung der Framerrate und besseren Bildauflösung

deutlich zu gross gewählter Bildausschnitt
unnötiger Verbrauch von Rechenleistung des Echokardiographiegerätes

Bildausschnitt zur Betrachtung aller 4 Herzkammern

Bildausschnitt zur Betrachtung des linken Ventrikels

Einstellung des optimalen Signalverstärkung

  • mittels Gain (globale Verstärkung) kann die Helligkeit erhöht werden. Dies verstärkt die eingehenden (reflektierten) Ultraschallwellen, so dass jedes Objekt auf dem Bild heller erscheint
    Ein höherer Gain führt aber zu einer bedeutend geringeren Auflösung und zu Schwierigkeiten, Gewebegrenzen zu erkennen
  • mittels time gain compensation (TGC) kann das Ausmaß der Signalverstärkung auf bestimmten Ebenen entlang des Ultraschallfeldes angepasst werden
    Ziel ist es, den Gain mit zunehmender Tiefe zu erhöhen um die mit zunehmender Tiefe auftretende Schallabschwächung zu kompensieren

zu niedrig gewählter Gain
das myokardialen Strukturen sind kaum zu erkennen. Die apikal gelegene abbarante Chordae des linken Ventrikels entgeht der Betrachtung.

ausreichend eingestellter Gain
die kardialen Strukturen und die Myokardtextur sind gut zu erkennen,die Herzbinnenräume stellen sich weitgehend dunkel dar. Die apikal gelegene abbarante Chordae des linken Ventrikels liegt außerhalb der Schnittebene.

zu hoch gewählter Gain
die Herzbinnenräume stellen sich zu echoreich dar. Die apikal gelegene abbarante Chordae des linken Ventrikels ist aber gut zu erkennen.

Fokus

  • der Fokus wird auf die Ebene der interessanten Region (ROI) verschoben
    der Fokus beinhaltet die Stelle des Ultraschallstrahls mit der höchsten Auflösung
  • Bildbereiche von besonderem Interesse sind mittels Zoom zu vergrößern
    die Zoomfunktion führt aber nicht zu einer Erhöhung der Auflösungdes Bildes

falsch gewählter Fokus
der Fokus ist auf die Apex gerichtet, dafür ist der Bildabschnitt zu groß gewählt. Die apikal gelegene abbarante Chordae des linken Ventrikels ist nicht zu erkennen.

falsch gewählter Fokus
der Fokus liegt auf den apikalen Abschnitten. Auch hierfür ist der Bildausschnitt zu gross gewühlt

Fokussierung auf die medialen Bereicht. Die apikal gelegene abbarante Chordae des linken Ventrikels ist zu erkennen.

Fokussierung auf die Klappenebene.

Strebe eine hohe Framerate an (= Anzahl der Bilder/sec)

Sie ermöglicht Untersuchungen von schnellen Bewegungen. Sie ist abhängig von

  • Sektorweite
  • Ultraschallfrequenz
  • Anzahl der Scanlinien
  • Tiefe

Optimierung der Framerate

  • je größer der Bildausschnitt um so höher die Rechenleistung des Gerätes
  • je höher die Rechenleistung umso niedriger die Framerate

Bildausschnitt muss also der Region des Interesses (ROI) angepasst sein

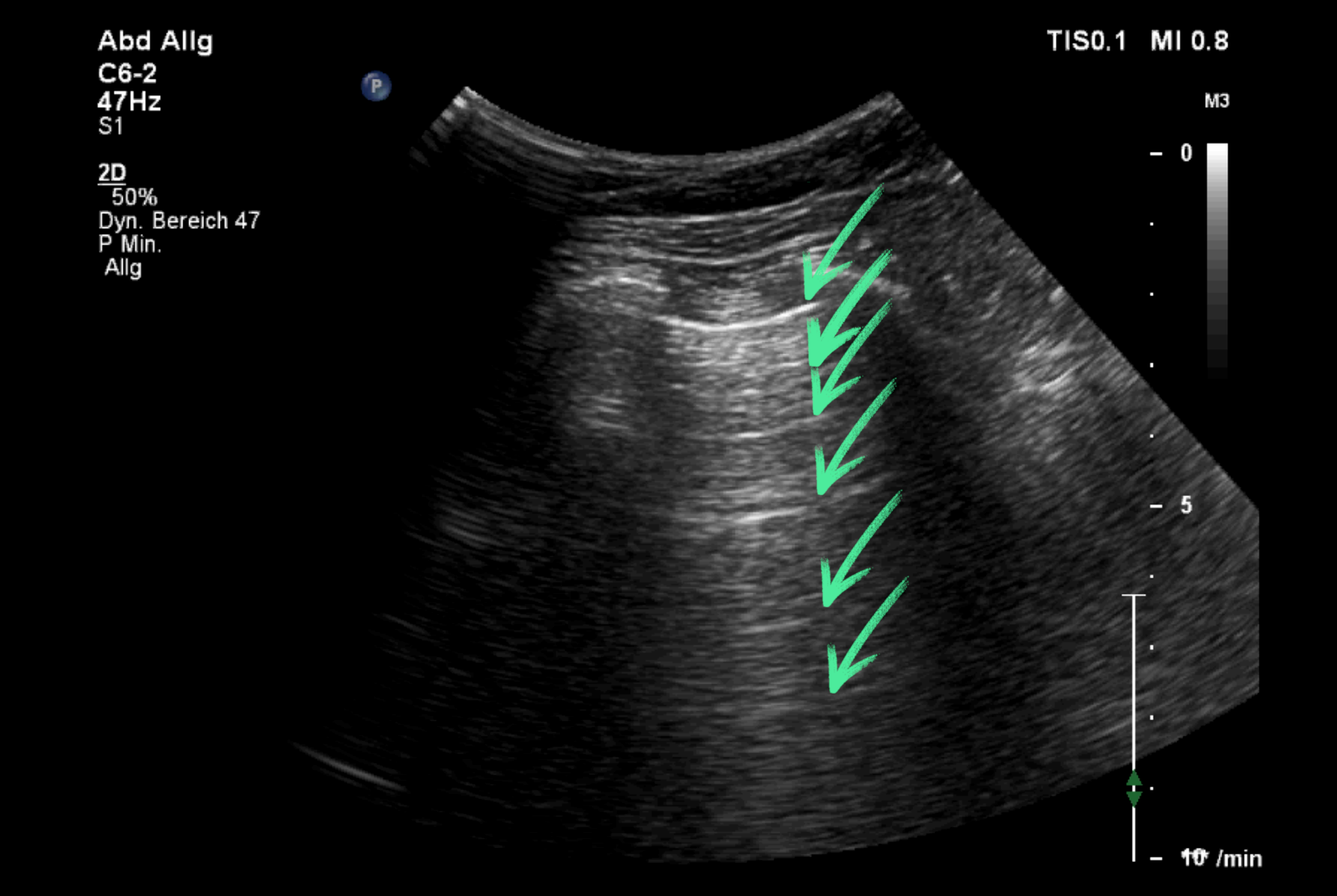
Framerate 47/min.: Bildablauf wirkt bereits mit bloßem Auge stockend (Framerate < Kammerfrequenz)

Framerate 78/min.: flüssiger Bildablauf, der für weitere Analysen wie Speckletracking geeignet ist (Framerate > Kammerfrequenz)

Bildnachbearbeitung

Möglichkeiten der Bildnachbearbeitung

  • Filterbr>Hochpassfilter, Substraktionsfilter
  • Tissue Harmonic Imaging (THI)
  • iSccan
  • ATO

Bildausschnitt muss also der Region des Interesses (ROI) angepasst sein

Verwende die Möglichkeiten von Farbkarten

  • bei eingeschränkten Sichtbedingungen sind Farbkarten hilfreich

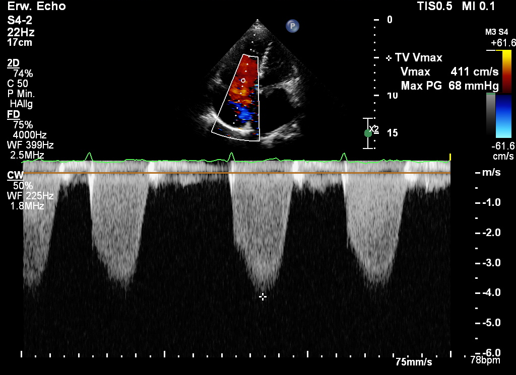
cW-Doppler

cW-Doppler

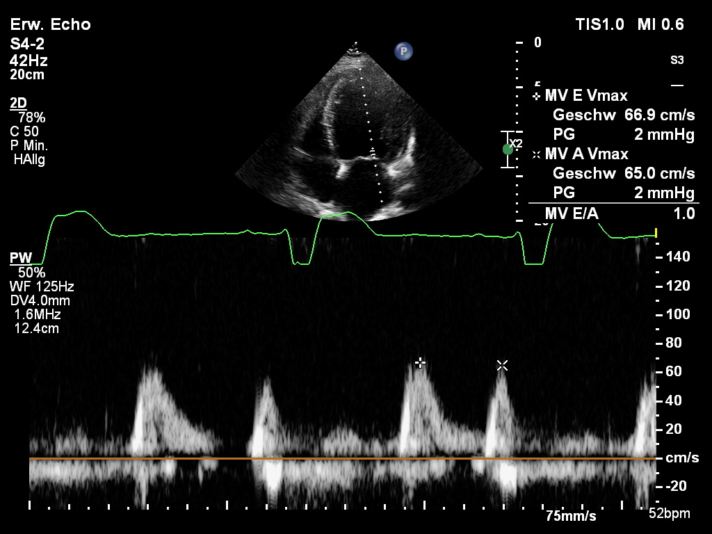
pW-Doppler

pW-Doppler

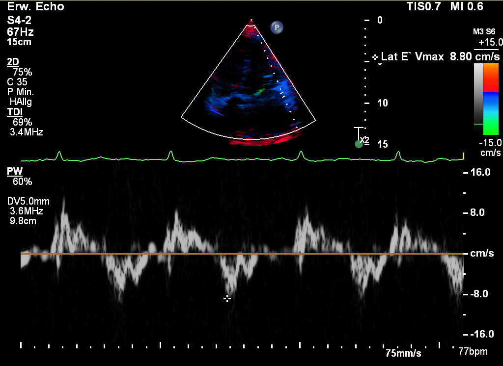
Gewebe-Doppler (tissue Doppler, TDI)

Gewebe-Doppler

Gewebe-Doppler (tissue Doppler, TDI)

Echtzeit-Aufnahme

Speckle tracking (Strainanalyse)

Speckle tracking (regionale Strainanalyse)